Mon-Fri: 9:00 to 18:00 | Sat: 10:30 to 1:30 | Sun: 10:00 to 14:00
jatinm3@mweb.co.za | 011 315 8415 |
Eye Care > Diseases of the Eye > Iritis
Iritis is an inflammatory problem of the iris, the coloured part of the eye. It often occurs for unknown reasons, but it may be linked to certain diseases affecting the body, infections, previous eye surgery, or injury.
Iritis may affect one or both eyes. It is sometimes a chronic, recurring condition.
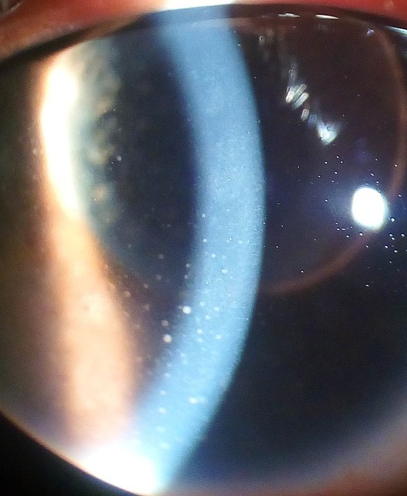
The eye care practitioner can detect iritis during an examination of the eye with a slit lamp microscope. Among other things, the eye care practitioner will look for microscopic white cells floating inside the eye which are a sign of inflammation. The eye care practitioner will also carefully examine inside the eye to determine if other parts of the eye are involved.
Steroids and anti-inflammatory drops are prescribed to reduce inflammation in the eye. Dilating drops also make the eye more comfortable by relaxing the muscle that constricts the pupil.
Iritis must be treated to avoid permanent problems such as scarring inside the eye.
| Cookie | Duration | Description |
|---|---|---|
| cookielawinfo-checkbox-analytics | 11 months | This cookie is set by GDPR Cookie Consent plugin. The cookie is used to store the user consent for the cookies in the category "Analytics". |
| cookielawinfo-checkbox-functional | 11 months | The cookie is set by GDPR cookie consent to record the user consent for the cookies in the category "Functional". |
| cookielawinfo-checkbox-necessary | 11 months | This cookie is set by GDPR Cookie Consent plugin. The cookies is used to store the user consent for the cookies in the category "Necessary". |
| cookielawinfo-checkbox-others | 11 months | This cookie is set by GDPR Cookie Consent plugin. The cookie is used to store the user consent for the cookies in the category "Other. |
| cookielawinfo-checkbox-performance | 11 months | This cookie is set by GDPR Cookie Consent plugin. The cookie is used to store the user consent for the cookies in the category "Performance". |
| viewed_cookie_policy | 11 months | The cookie is set by the GDPR Cookie Consent plugin and is used to store whether or not user has consented to the use of cookies. It does not store any personal data. |